在天津宝坻,想找一家靠谱的口腔医院可不是件容易的事儿。最近,天津宝坻东方口腔门诊部受到了不少人的关注,大家都在问:“天津宝坻东方口腔门诊部坑不坑?”今天,咱们就结合真实患者反馈,一起来揭秘这家口腔门诊部,看看它是不是真的服务技术双优不坑人!

天津宝坻东方口腔门诊部:正规大型机构
天津宝坻东方口腔医院是一家正规的大型口腔综合机构,而且有两院哦!一个位于宝坻区城南怡购商圈附近的宝地经典底商,另一个在城北学校密集区的宝鑫景苑底商,地理位置十分优越,交通也特别方便。不管你住在南边还是北边,去看牙都挺便利的。这里集口腔疾病的预防、诊断、治疗和修复为一体,诊疗范围广泛,能满足不同患者的需求。

天津宝坻东方口腔门诊部:实力雄厚的医生团队
该门诊部拥有一支实力超雄厚的医疗团队,有资历深的牙科医生、主治医师、助理医师还有护理人员。这些医生在各自擅长的口腔领域相当出色,临床经验充足,看了特别多病人,积累了丰富的经验。不管是啥口腔问题,他们都能比较正确地诊断,还能根据每个人的情况制定个性化的治疗方案,就像给每个人量身定制衣服一样合适!
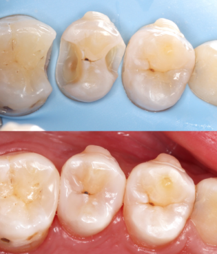
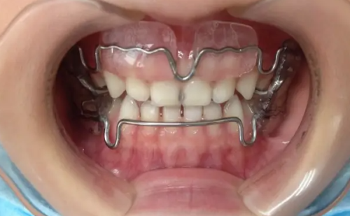
其中,种植团队由高建岭、朱延康医生领衔,团队拥有丰富的临床经验,累计完成超2000例种植病例,擅长数字化微创种植技术及All - on - 4等半口/全口复杂种植。矫正团队由张晓东、康哲医生主导,医生拥有12年正畸从业经历,擅长处理儿童、成人各类复杂病例,提供传统固定、自锁及隐形矫正等多种方案。

天津宝坻东方口腔门诊部:精良的诊疗设备
医院花了不少钱引进了好多国内外精良的口腔诊疗设备,像智能化口腔扫描仪、全景X光机、激光治疗仪、口腔CBCT、超声骨刀、口内扫描仪(口扫)、3D打印机、显微镜等。有了这些设备,医生给咱们看牙的时候就能更正确、更有效,能更好地发现牙齿隐藏的问题,治疗起来也更有针对性。比如说那个智能化口腔扫描仪,特别快就能把牙齿的情况扫描出来,让医生一目了然。

天津宝坻东方口腔门诊部:优质的服务质量
医院特别重视患者的体验,就想着给大家提供优质的医疗服务。从你走进医院开始,工作人员就会热情接待你,问清楚你的需求,然后安排合适的医生给你看牙。在治疗过程中,医生也会耐心跟你沟通,告诉你牙齿的情况和治疗的方法,让你心里明明白白的。而且治疗完之后,还会告诉你一些护理牙齿的注意事项,真是贴心到家了!

天津宝坻东方口腔门诊部:透明的项目价格
以下为部分项目市场参考起价,实际费用因个人口腔状况、所选材料及治疗方案而异,仅供参考:
| 项目 | 参考价格 |
|---|---|
| 种植牙(特价引流种植体登腾) | 2400元起 |
| 种植牙(推荐种植体诺贝尔) | 7800元起 |
| 牙齿矫正(特价固定矫正) | 8000元起 |
| 牙齿矫正(隐形矫正时代天使) | 15000元起 |
| 牙冠修复(爱尔创全瓷冠) | 1300元起 |
| 牙冠修复(威兰德全瓷冠) | 3000元起 |
| 牙冠修复(拉瓦全瓷冠) | 5500元起 |
重要提示:以上价格均为参考起始价,具体费用需经医生面诊后,根据实际情况确定的更终治疗方案为准。医院支持医疗保险刷卡,但目前暂不支持分段付款。

天津宝坻东方口腔门诊部:便捷的就诊指引
天津宝坻东方口腔医院拥有两个院区,方便城南城北居民就诊。具体地址如下:
院区一:天津市宝坻区宝平街道宝地经典底商22号楼107 - 108(坐落于宝坻区城南怡购商圈附近)。
院区二:天津市宝坻区海滨街道北城东路北侧129号(坐落于宝坻区城北学校密集区,宝鑫景苑底商)。
交通方案:自驾停车的话,两个院区均设有停车场,方便驾车前往的患者停放车辆。导航建议使用高德地图、百度地图等主流App直接搜索“天津宝坻东方口腔医院”,选择对应院区进行正确导航。
营业时间为每日早8:00至晚8:00,支持晚间延时服务,方便上班族和学生群体就诊。医院还提供夜诊服务,并设有线上医生渠道,建议提前询问,以便安排合适的就诊时间。

天津宝坻东方口腔门诊部:患者口碑良好
根据公开信息反馈,患者对天津宝坻东方口腔医院的评价多集中于“环境整洁舒适”、“医生沟通耐心细致”、“消毒流程规范让人放心”以及“夜间和周末就诊方便”等方面。该机构定位中低收费档次,技术设备较为齐全,尤其适合注重性价比、有种植或矫正需求(包括儿童早期干预)、以及需要利用晚间或周末时间就诊的宝坻及周边居民。
综上所述,天津宝坻东方口腔门诊部确实是一家挺不错的口腔医院,不是坑人的机构。它正规的资质、实力雄厚的医生团队、精良的设备、优质的服务以及透明的价格,都让人比较放心。要是您在宝坻或者周边,有口腔问题不妨在线点击询问客服了解更多信息,去那儿看看哦!