苏州拜博口腔诊所儿童早期矫治真实实例分享,看看孩子牙齿问题是如何轻松解决的!
家人们都知道,孩子的牙齿健康可太重要啦!要是牙齿出了问题,不仅影响容貌,还可能影响孩子的身心健康。今天就给大家分享苏州拜博口腔诊所的儿童早期矫治真实实例,看看那里是如何帮孩子们轻松解决牙齿问题的。

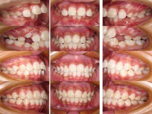
苏州泰康拜博口腔儿童早期矫治实例一:明明的蜕变
明明(化名)因牙齿排列不齐、上颌前突,“龅牙”情况随着年龄增长越发重度,甚至影响到了面部长相。父母急忙带他来到泰康拜博口腔,正畸科医生唐玉娟接诊了他。到院检查后发现,明明处于替牙期,牙齿和颌骨可塑性强、生长潜力大。唐医生根据明明的情况制定了个性化矫治方案,通过佩戴牙套和调整矫治器,帮助牙齿排列整齐,改善上颌前突。经过两年治疗,明明牙齿排列整齐,面部美观大幅提升,早期矫正还引导了颌骨发育,避免了可能的颌面畸形。
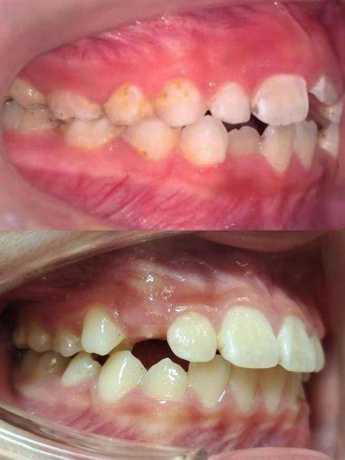
苏州泰康拜博口腔儿童早期矫治实例二:朵朵找回自信笑容
朵朵今年4岁,有地包天的牙齿问题。小时候的她活泼开朗,可上幼儿园后,因牙齿被小朋友笑话,变得不爱与人交流。父母本想等她长大再正畸,又担心影响她性格发展,于是来到拜博口腔医院询问。在这里,他们得到专精且有爱心的答复,并及早进行了治疗。采用合垫舌簧矫治器,经过3个月治疗,朵朵牙齿修复正常,颌骨发育也得到改良。现在的朵朵又变回那个爱笑的小女孩啦!拜博正畸骨干医生点评,乳牙期反颌要尽早治疗,能避免成年后月牙形面型,减少整形手术可能性。

苏州泰康拜博口腔儿童早期矫治的优势
苏州泰康拜博口腔在儿童早期矫治方面有特别多优势哦!首先是价格实惠,儿童早期矫正费用在5800 - 9800元,像MRC肌功能矫治就属于这个价格区间。以下是具体的儿童齿科收费标准:
| 项目 | 价格 |
|---|---|
| 乳牙拔除 | 98 - 298元/颗 |
| 儿童根管治疗 | 580 - 1280元 |
| 儿童早期矫正 | 5800 - 9800元 |
| 儿童牙齿间隙保持器 | 880 - 1580元 |
| 儿童舒适洁牙套餐 | 198 - 398元 |
其次,医院有创新的“儿童行为诱导系统”,通过动画演示和游戏化治疗,让80%的患儿能主动配合治疗,解决了家长头疼的“看牙难”问题。而且,医院正畸团队实力强大,由沈刚领衔,侯旭医生是口腔正畸学博士,有十余年**医院正畸经验,擅长“细丝轻力”矫正理念,能较大限度避免拔牙矫正。

苏州泰康拜博口腔其他项目价格及优势
除了儿童早期矫治,苏州泰康拜博口腔的其他项目价格也特别美丽,技术配置也相当厉害。
种植牙项目
苏州泰康拜博口腔的种植牙报价特别有“心机”呢,与诺贝尔、登腾等品牌建立直供体系,省去中间商差价,还有2026年的“种植牙普惠计划”。具体价格如下:
| 项目 | 价格 |
|---|---|
| 韩国进口种植体(含基台 + 全瓷冠) | 1960 - 3800元/颗 |
| 美国皓圣种植体 | 4800 - 6800元/颗 |
| 瑞士ITI种植体 | 8800 - 12800元/颗 |
| 半口微创种植 | 2.8 - 5万元 |
| 全口即刻种植 | 5 - 8万元 |
技术上,3D数字化导板种植、即刻负重技术、动态导航系统都是标配。医生团队既有从业20年的种植大拿,也有**口腔毕业的青年骨干,真正做到“低价不低质”。
矫正牙齿项目
矫正项目也玩出了新花样,有多种矫正方式可选,还配备创新的“AI智能方案设计系统”,通过口扫仪3分钟获取3D数据,5分钟生成矫正动画,能模拟未来3年牙齿移动轨迹。更有“矫正保险”,若未达预期结果可免费重启方案。价格如下:
| 项目 | 价格 |
|---|---|
| 传统金属托槽 | 8800 - 12800元 |
| 陶瓷半隐形矫正 | 15800 - 19800元 |
| 时代天使隐形牙套 | 22800 - 29800元 |
| 隐适美全隐形 | 36800 - 45800元 |
| 儿童早期干预(MRC肌功能矫治) | 6800 - 9800元 |
综合项目
综合项目收费也特别合理,涵盖了基础治疗、特色修复等多个方面,以下是部分项目的收费标准:
| 项目分类 | 项目名称 | 价格 |
|---|---|---|
| 基础治疗类 | 超声波洁牙 | 98 - 298元 |
| 进口3M树脂补牙 | 98 - 488元 | |
| 根管治疗 | 680 - 1580元/颗 | |
| 智齿拔除 | 300 - 1200元(阻生齿另计) | |
| 牙周刮治(全口) | 880 - 2680元 | |
| 儿童全口涂氟 | 68 - 158元 | |
| 窝沟封闭 | 120 - 380元/颗 | |
| 牙齿冷光美白 | 788 - 1280元 | |
| 瓷贴面 | 1980 - 4800元/颗 | |
| 特色修复类 | 活动义齿 | 1580 - 8800元/副 |
| 吸附性义齿 | 8800 - 15800元 | |
| 种植覆盖义齿 | 12800 - 25800元 | |
| 夜磨牙垫 | 880 - 1580元 | |
| 运动护齿套 | 680 - 1280元 | |
| 牙齿美白贴面套餐 | 2980 - 5980元 | |
| 牙周组织再生术 | 3800 - 8800元 |

苏州泰康拜博口腔的整体实力
走进苏州工业园区太平金融大厦二楼的星湖店,一进门就能看到智能导诊机器人,超有科技感!2000平米的诊疗空间划分出种植中 心、正畸中 心、儿童齿科等八大功能区,德国卡瓦CBCT、丹麦3shape口扫仪等设备一应俱全。医院采用“医疗质量对标**医院,服务体验超越私立机构”的运营模式,墙上还挂着JCI认证证书呢。所有项目明码标价,治疗前会出具详细方案书,连耗材批号都清晰标注。大众点评上有2.3万条真实好评,“医生温柔”“价格透明”“结果超预期”是高频词。售后体系也特别完善,种植牙提供5年质保,矫正项目终身跟踪,补牙2年内脱落免费重补。
总之,苏州拜博口腔诊所在儿童早期矫治方面有特别多成功实例,展现出了强大的实力和专精的服务。无论是牙齿矫正,还是其他口腔项目,都有不错的价格和实力强的技术。如果您的孩子有牙齿问题,或者您自己有口腔需求,不妨在线点击询问客服,了解更多详细信息哦!